漢方薬服用で化学物質過敏症の症状が殆ど無く外出が平気です
【漢方薬ご購入歴】
2021年2月12日 試薬発送
2021年2月16日 体質改善薬 16日分 10.560円
2021年3月4日 便秘薬 20日分 13.200円
2021年3月4日 体質改善薬 30日分 19.800円
2021年3月31日 体質改善薬 30日分 19.800円
2021年3月31日 便秘薬 20日分 13.200円
2021年4月28日 体質改善薬 30日分 19.800円
2021年4月28日 便秘薬 30日分 13.200円
体質改善薬106日 69.960円
便秘薬70日分 46.200円
合計 以上の115.890円の服用結果です
53歳 女性 兵庫県 化学物質過敏症
化学物質過敏症 息苦しさ無し 体調がいいです
普通に外に出て全然大丈夫
化学物質に何にも反応しない
ガスコンロも 家の洗剤も大丈夫
序々に先月も良くなり 連休明けから調子いい
生活には気をつけていますが 何も化学物質過敏症の症状なし
肌が潤い かさつき無くなりました
実家に避難していましたが
4月から自宅に帰っています
壁紙 床も反応なし
揮発も進んで 自宅の敗毒もできていると思います
息を吸っても 何も反応しません
肩こり首凝り 足つりなし
関節痛も 股関節の痛みも無くなり
息苦しさが化学物質過敏症でなのか
喘息でなのか原因がどちらからきているのかが
わかりませんでしたが 息苦しさが消えたため
喘息の薬を半分減らす事になりました
今は化学物質過敏症の敗毒にタチオンを服用していますが
アレルギー反応にもタチオンを使用していますが
ゆくゆくはやめられると思います
化学物質過敏症が今年の1月発症し
2月は酷い時は起き上がれませんでした
実家に避難と同時に漢方薬にたまたま
めぐり合えました
紹介の方がSNSで治りましたと
書き込みされていてその方と
知り合いになりよかったら 教えて下さいで
木室先生を紹介して頂きました。
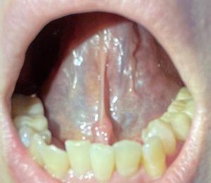
【2021年2月9日漢方薬服用前舌表】

【2021年4月26日漢方薬服用中舌表】

【2021年5月26日漢方薬服用中舌表最新】

【2021年2月9日漢方薬服用前舌裏】

【2021年4月26日漢方薬服用中舌裏】

舌の裏の静脈血管の黒さが薄くなりました
毒素が抜けてきています
この毒素が体に熱を与え
皮膚を乾燥させ
乾燥した肌がバリア機能が落ち
化学物質を吸収してしまい
化学物質過敏症の症状を発生させているようです。
また 乾燥した肌が電磁場過敏を発生させていたと
考えられます
肌が潤うと
化学物質過敏症,や電磁場過敏症が
改善されているのです。
【2021年5月26日漢方薬服用中裏表最新】

化学物質過敏症やその他諸々の症状が改善している事
がこの静脈血管の色が薄くなっている事でも
確認できます
【2021年2月12日初問診時の症状】
化学物質過敏症
(診断なし・先週土曜日に病院で、化学物質過敏症ではないか、と言われた)
今は実家に避難している
手の震え、顔のケイレン、息苦しい、震えるような気持ち悪さ、
リフォーム後、壁紙や床材に反応している 昨年秋から喘息
【副作用歴】
有 ロキソニン(消炎解熱鎮痛剤)→
蕁麻疹ボルタレンテープ(消炎鎮痛剤艾葉)→息苦しくなった
注)アスピリンなどの鎮痛薬による喘息(再現性高い)
【医療機関の受診】有 アレルギー科、呼吸器内科、
【初問診時服用中の薬】
喘息治療薬
●フルティフォーム エアゾール(ステロイド+気管支拡張 気管支喘息薬)
●モンテルカスト錠 10mg
(抗アレルギー薬 気管支喘息の発作予防と思われます。 アレルギー性鼻炎)
●ビラノア錠 20mg(抗ヒスタミン薬 アレルギー性鼻炎・湿疹・皮膚炎のそう痒)
呼吸器科喘息の薬をもらう時に追加
化学物質過敏症
●タチオン散20%(薬物中毒、アセトン血性嘔吐症)
●ハイチオール錠40mg(Lシステイン 湿疹など 解毒・抗アレルギー作用)
●ピドキサール錠20mg(ビタミンB6 ビタミンB6の補給)
●タウリン散98%「大正」(肝機能改善薬 高ビリルビン血症(閉塞性黄疸を除く)に
おける肝機能の改善)偏頭痛
●ミグシス錠(脳血管収縮抑制(Ca拮抗薬の一種) 片頭痛の発作を予防)↓痛みが酷い時のみ
●リザトリプタンOD錠10mg(脳外の頭蓋内動脈収縮 片頭痛時の痛み止め)
- カロナール錠(アセトアミノフェン 解熱鎮痛効果)
- 市販のタイレノール(アセトアミノフェン 痛み止め)も飲んでいる
注)カロナールとタイレノールは同じ成分の薬であり併用はすすめられません
(当局管理薬剤師;中城)
【健康食品・サプリ】無(以前、はとむぎ美人飲んでいた)
【アレルギー情報】ハウスダスト
洗面所のリフォームした時から 発症
3日ほどで撤去パネル 実家で避難している
息苦しさで 発作は出ないが喘息という診断をうけて吸入器
酷い時は3年間はゼーヒュー去年(2020年) 11-12月に呼吸器科で喘息診断
食べれなくて この1か月で 3㎏痩せた)
食欲不振 胃痛(痛み方 ぐーと と痛んだ )便秘
息苦しい 呼吸が浅い
髪が抜ける
皮膚が弱い 粘膜が弱い:鼻が乾燥する
鼻水や鼻づまり(鼻水がある 後鼻漏 ) 鼻水とくしゃみが多い
自宅でかなり麦茶を飲んでいた 1日1L飲んでいた 口が渇いた
飛蚊症(両方 真っ白な壁見てると真ん中に 3つ浮いてくる)
頭痛(ズキンズキン脈打つ 締め付ける こめかみから輪っかがはまる
ひどい時は左)
子宮ポリープ去年1つ
52-53歳の年 大腸にポリープ1-2つ
3-4年前 卵巣昔片方が腫れていると言われた
20代 生理は2ヶ月に1回でした
出産後更年期になり この2-3年は毎月ある
左股関節痛
(弱い歩き出しに痛む 股関節周りすねのほうまで しびれ 去年悪化 今はしびれ無し)
右股関節痛
足がつる(最近1-2週間前つりました )
背伸びしようとすると足がつる
肩こりがきつい 首こりがきつい
筋が硬くて伸びにくい
顔のけいれん
手の震えは 嫌な臭いをかぐと起きる
外から入る匂い 焦げ臭い 薬品みたいな匂い
ガスコンロも体調悪いと臭い
柔軟剤付いた服が着れなくなりました
臭くて着たくない
排便力弱い 今は便秘薬 飲んでいない 1か月前便秘薬毎日飲んでいた
( ウィズワン プランタ おばた センノシド 乳酸菌ニコチン酸アミド)
寝付くまで時間がかかる(1時間 )
眠くならない 昼寝しない 昼間は眠くならない
以上 問診時の症状です
以前この方に登場して頂いたブログです
2021年4月2日
化学物質過敏のようです(医師)が漢方薬でリフォームした自宅に帰れるようになりました。
2021年4月28日
化学物質過敏症状態 漢方薬で化学物質が全く気にならない時間が長くなった。
ラジオの過去放送分はこちらから
「オータニ漢方薬局YouTube」で検索
化学物質過敏症関連ブログです。
化学物質過敏症は皮膚が潤い皮膚のバリア機能強化されると健康体に戻っています。
化学物質過敏症状態 漢方薬で化学物質が全く気にならない時間が長くなった。
化学物質過敏症:柔軟剤や消臭剤は漢方薬服用でほぼ気になりません。
化学物質過敏症改善の漢方薬でベーカー嚢腫が30日程で消えました。
化学物質過敏のようです(医師)が漢方薬でリフォームした自宅に帰れるようになりました。
化学物質過敏のようです(医師)が漢方薬でリフォームした自宅に帰れるようになりました。
化学物質過敏症も電磁場過敏症も漢方薬服用で問題なく過ごせています
化学物質過敏症 漢方薬服用でドラックストアにも普通に行けます
化学物質過敏症が良くなり肌が綺麗で女性ぽい顔 体つきになった事を実感します。
化学物質過敏症で頭痛と息が苦しいのが 結構ネックだったので助かりました。
化学物質過敏症漢方薬漢方薬129日分で化学物質が気にならなくなりました。
化学物質過敏症で甲状腺がパンパン腫れて痛いのが漢方薬で消えました。
漢方薬で止まっていた生理が来て化学物質での反応が楽になりました。
化学物質過敏症元気になり焦る気持ちが悪化させます
化学物質過敏症が漢方薬で白髪が黒くなりイライラしなくなりました
化学物質過敏症漢方薬16日分服用で小顔になり胃腸が元気です。
頭痛目眩が起きる事が無くなりました。
漢方薬で改善化学物質過敏症マスク外して吉祥寺東京駅を1日歩けます
化学物質過敏症の方人間が病気をするとペットまで病気になるのですね。
漢方薬50日分服用で化学物質過敏症が治るという実感が出来ました。
化学物質過敏症が漢方薬でデトックス 正常な体に戻っています。
化学物質過敏症は柔軟剤や抗菌剤⼊洗剤、消臭剤が苦しい 使用を控えてほしい
化学物質過敏症になりやすい体質は花粉症、アトピー、アエルギー、喘息になりやすいです。
化学物質過敏症 消臭剤 柔軟剤 香水 ペイント染料 ガス 殺虫剤等々が反応します
化学物質過敏症 漢方薬7日分でシャンプー?柔軟剤?臭いの区別が出来ます
漢方薬の考え方は易学に通じます 土と 金は 母と子の関係です。
化学物質過敏 シックハウス 漢方薬 39日分服用改善結果です
化学物質過敏症漢方薬16日分服用で近所をマスク無しで歩けます
漢方薬50日分服用で化学物質過敏症が治るという実感が出来ました。
使用を控えてほしい








